Diyetler zorlayıcı olabilir, bilhassa de istediğiniz sonuçları alamıyorsanız. Tartıya çıkmak ve kilo aldığını görmek 28 yaşındaki Jaimi Conwell için olağan bir olay haline gelmişti. Yıllardır kalori kesme ve ketojenik diyet de dahil pek çok katı diyeti uygulamasına, her gün tertipli antrenman yapmasına karşın ne kadar uğraşırsa uğraşsın istediği sonucu alamıyordu. Daha da berbatı, Jaimi iki yıl evvel daha da süratli kilo almaya başladı ve buna mide bulantısı da dahil pek çok telaş verici yeni semptom eşlik etti.
O sırada 114 kilo olduğunu belirterek, “Ayakkabımı bağlamak için öne eğilirdim ve midem bulanırdı. Bunun kilolu beşerler için olağan olduğunu düşünüyordum” diyor Jaimi. “Her şeyin olağan olduğundan emin olmak için kan sayımı yaptırmak için doktora gittim ve beyaz kan hücrelerim olağandışı çıktı.”
‘ÖLECEK MİYİM?’ SORUSU AKLINDAN ÇIKMIYORDU
Hekimler, Jaimi’nin tıbbi sıkıntılarının kaynağını daha yeterli tespit etmelerini sağlayacak bir teklifte bulundu: Keşif ameliyatı.
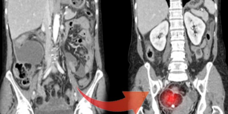
Anestezi altında gerçekleştirilen operasyon sırasında Jaimi’nin sağ yumurtalığının etrafında bir tümör olduğu keşfedildi. Tümörü, kanserli olabileceği dehşetiyle, yumurtalıkla birlikte çıkarmaya karar verdiler. Kendine geldiğinde hekimlerin tümörden bahsetmesiyle Jaimi dehşete kapıldı.
Jaimi, “Uyandıktan sonra annemle yürüyüşe çıktım ve yüzündeki tasayı görebiliyordum. Bu yüzden bir şeylerin yolunda gitmediğini anlayabiliyordum” diyor.
Annesi tümörün yeterli huylu olup olmadığını bilmediklerini söylediğinde Jaimi, bunun ölümcül olduğunu düşünmeye başladı: “O kadar şoktaydım ki o an nasıl hissettiğimi hatırlayamıyorum. ‘Ölecek miyim?’ sorusunu aklımdan çıkaramadığımı hatırlıyorum.”
TÜMÖRÜN ETRAFI SAÇ VE DİŞLERLE KAPLIYDI
Jaimi’yi dehşete düşüren yalnızca bir tümöre sahip olması değildi. Üstelik daima büyüyen yaklaşık 9 kilogram yükündeki tümörün etrafı saç ve dişlerle doluydu.
Jaimi, “Doktorlar bunun içimde üç tane çocuk olması üzere bir şey olduğunu söylediler. Tıpkı vakitte dişleri ve tüylerinin olduğunu da öğrendim. Bu benim için her şeyden daha iğrençti” diye konuşuyor.
Pekala kulağa epeyce ürkütücü gelen bu tümörü nasıl yorumlamak gerekiyor? Jaimi’nin başına gelenleri yaşayan öbürleri da var mı? Bu mevzuda başımıza takılanları Bayan Doğum Uzmanı Prof. Dr. Yavuz Şimşek‘e danıştık.
Bir yumurtalık tümöründe diş, kemik, kıl, deri modülleri üzere öbür dokuların varlığının ender bir durum olmadığını söz eden Şimşek, “Bu durum bize tümörün ‘dermoid tümör’ ya da öteki ismiyle ‘matür kistik teratom’ olduğunu gösterir ki genç bayanlarda en sık görülen over tümörü çeşitlerinden biridir” dedi.
Dermoid tümörler vakit zaman taşıdıkları tuhaf nitelikler nedeniyle bilim insanları ortasında da bir merak konusu. Bu tümörlerin kimilerinin saç, diş, kemik ve çok nadiren göz küresi üzere daha karmaşık organları içerdiğine dair kayıtlar bulunuyor.
KANSERLEŞME ORANI ÇOK DÜŞÜK
Tekrarlama mümkünlüğünün başka tümörlere nazaran daha az olduğu dermoid tümörde, yalnızca tümörün çıkarılmasının kâfi olduğunu belirten Şimşek, “Ameliyatla alınması haricinde diğer bir tedaviye muhtaçlık olmaz. Kanserleşme oranı ise yüzde 1 yani çok azdır. Kanserleşme olsa bile seyir, başka yumurtalık kanserlerine nazaran daha güzel ilerler” tabirlerini kullandı.

Form 1-Dermoid kistli yumurtalık Biçim 2-Normal yumurtalık
ERKEKLERDE BİLE GÖRÜLEBİLİYOR
Hekimler, Jaimi’de tümörün neden büyümeye başladığını tam olarak teyit edemese de genç bayan, annesinin ona gebe kaldığında bir ikizi olabileceğine ve bu fetüsün yumurtalığında büyümeye devam ettiğine inanıyor.
Jaimi, “Teyzem, annem ve büyükbabam ikiz olduğu için, tahminen benim de ikizimin olabileceğini söylediler” diyor.
Bu hususta görüşüne başvurduğumuz Şimşek ise bu tümörlerin oluşma nedeninin tam olarak bilinemediğini söyleyerek, “Bu türlü durumlarda kişinin anne karnında gelişirken yumurtalık dokusu içinde olağandışı bir gebelik oluştuğuna ve bunun doğumdan sonra bulgu verdiğine inanılıyor. Bu da fetüs içinde fetüs olarak biliniyor. Farklı olan, bu tümörler erkeklerde ve bedenin öbür kısımlarında da görülebiliyor. Doğumdan evvel oluşan bu yapılar ekseriyetle ergenlik devrinde belirti vermeye başlıyor” sözlerini kullandı.
‘YA ÇOCUK SAHİBİ OLAMAZSAM’
Jaimi tümörü aldırdığı için rahatlamıştı lakin yumurtalığının alınması da onu korkutmuyor değildi. Tek yumurtalığı olmasının ileride çocuk sahibi olma teşebbüslerini engelleyeceği fikri onu huzursuz ediyordu. Zira tek isteği çocuk sahibi olmak ve büyük bir aile kurmaktı.
Dermoid tümörde çok büyümedikçe yumurtalığın korunduğunu söyleyen Şimşek, “Yumurtalık alınsa bile kalan yumurtalıkla elbette hamilelik olabilir. Lakin tek yumurtalığın alınması, bayanın hamile kalabilme potansiyelini düşürür, rezervini azaltır. Bu nedenle dermoid tümör üzere âlâ huylu yumurtalık kitlelerinde her durumda yumurtalığı korumak tercih edilir” dedi.
Tümörün çıkarılmasıyla birlikte Jaimi sağlıklı beslenme ve idman içeren diyetine geri döndü. O vakitten beri yaklaşık 46 kilo verdi ve şimdilerde 66-67 kilogram tartısında.
Jaimi Conwell (@jaimiconwell)’in paylaştığı bir gönderi
ASİTTEN KAYNAKLANDIĞINI DÜŞÜNDÜ
Dişleri ve saçları olan bir tümöre sahip olan tek kişi Jaimi değildi. ABD’li Page Davenport, birinci olarak 29 Ocak’ta karnında olağandışı bir ağrı hissetti ve regle benzemeyen garip bir kanama yaşadı.
New York Post’un haberine nazaran Page, birinci başta bu ağrının mide asidinden kaynaklanabileceğini düşündü. Fakat aslında sebep bundan çok daha makûs bir şeydi. Page, kanaması olunca derhal hekimine danıştı ve ultrason çektirdi.
Ultrason sonucuna nazaran Page’in rahminde iki büyük tümör tespit edildi. Bu tümörlerin en şaşırtan yanı tıpkı Jaimi’de olduğu üzere etrafında saç ve dişler olmasıydı. Page bu kistin iki yıl boyunca rahminde büyümüş olduğuna inanmakta zorlandı hatta raporları görünce bile inanmak istemedi.
Şimşek, dermoid tümörün ekseriyetle hiçbir belirti vermediğini ve ekseriyetle ultrasonda tesadüfen saptandığını söyleyerek, “Belirti verirse genelde daha ağır seyreder. İçerdiği yüksek yağ oranı nedeniyle karın içinde yüzer ve yumurtalığın kendi etrafında burulmasına (torsiyon) neden olur. Torsiyone olmuş yumurtalık, şiddetli kasık ağrısı, bulantı, kusma üzere belirtilerle kendini gösterir. Şayet bedenin farklı kısımlarına yerleştiyse o bölgeye ilişkin belirtiler de verebilir” açıklamalarında bulundu.
KARINDA ŞİŞLİK VARSA…
Son olarak tümörün kilo üzerindeki tesirlerini sorduğumuz Şimşek, ortadaki ilgiyi şu formda açıkladı:
Şimşek, “Burada sessizce büyüyen tümör karın şişliği yaratarak kilo vermeye çalışan bir bireyde, kilo verememe hissiyatı oluşturabilir. Göbeğim erimiyor diye düşünürken, aslında içinde büyüyen bir kist mevcut olabilir” dedi ve ekledi:
“Bu yüzden bayanlar karın şişliği yakınmasını önemsemeli. Sindirim sorunu, hazımsızlık üzere kılıflara sığınıp içinde büyüyen bir kitlenin teşhisini geciktirmemeli. Karın şişliğiniz varsa bir jinekoloğa kesinlikle muayene olunmalı.”


















