Güncel Haberler
No Result
View All Result
Salı, Mayıs 5, 2026
  • Login
  • Anasayfa
  • Dünya
  • Ekonomi
  • Siyaset
  • Yaşam
  • Medya
  • Bilim ve Teknoloji
  • Emlak
Güncel Haberler
  • Anasayfa
  • Dünya
  • Ekonomi
  • Siyaset
  • Yaşam
  • Medya
  • Bilim ve Teknoloji
  • Emlak
No Result
View All Result
Güncel Haberler
No Result
View All Result

9 kiloluk tümörü görenler şaşkına döndü! Bilhassa genç bayanlarda çok yaygın…

by Spor Haber
27 Mart 2022
in Dünya
132 2
0
9 kiloluk tümörü görenler şaşkına döndü! Bilhassa genç bayanlarda çok yaygın…
153
SHARES
1.9k
VIEWS
Share on FacebookShare on Twitter

Diyetler zorlayıcı olabilir, bilhassa de istediğiniz sonuçları alamıyorsanız. Tartıya çıkmak ve kilo aldığını görmek 28 yaşındaki Jaimi Conwell için olağan bir olay haline gelmişti. Yıllardır kalori kesme ve ketojenik diyet de dahil pek çok katı diyeti uygulamasına, her gün tertipli antrenman yapmasına karşın ne kadar uğraşırsa uğraşsın istediği sonucu alamıyordu. Daha da berbatı, Jaimi iki yıl evvel daha da süratli kilo almaya başladı ve buna mide bulantısı da dahil pek çok telaş verici yeni semptom eşlik etti.

O sırada 114 kilo olduğunu belirterek, “Ayakkabımı bağlamak için öne eğilirdim ve midem bulanırdı. Bunun kilolu beşerler için olağan olduğunu düşünüyordum” diyor Jaimi. “Her şeyin olağan olduğundan emin olmak için kan sayımı yaptırmak için doktora gittim ve beyaz kan hücrelerim olağandışı çıktı.”

İlginizi ÇekebilecekHaberler

NATO Genel Sekreteri Rutte’den Avrupa’ya ihtar: ABD olmadan savunma hayal

ABD’de Büyük Kar Fırtınası Düzensizliği

ABD’den Yeni Gazze Planı

‘ÖLECEK MİYİM?’ SORUSU AKLINDAN ÇIKMIYORDU

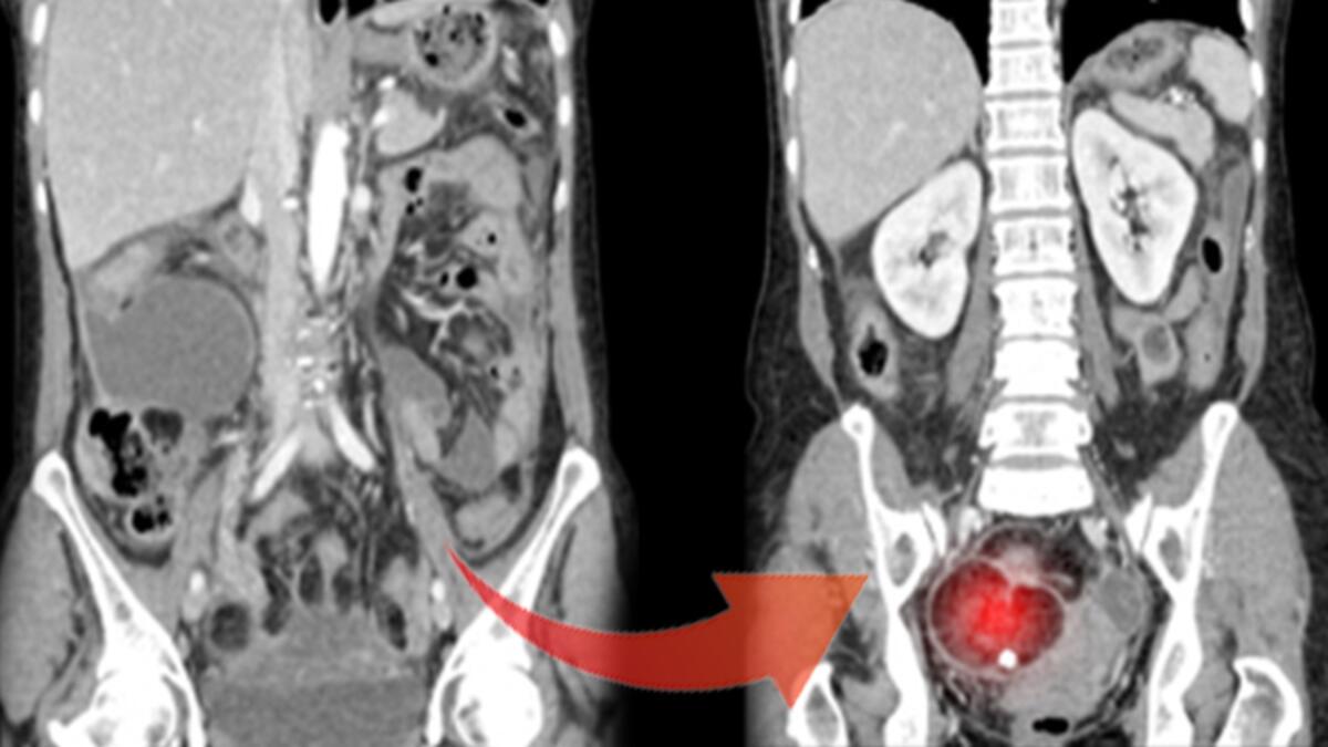
Hekimler, Jaimi’nin tıbbi sıkıntılarının kaynağını daha yeterli tespit etmelerini sağlayacak bir teklifte bulundu: Keşif ameliyatı.

Anestezi altında gerçekleştirilen operasyon sırasında Jaimi’nin sağ yumurtalığının etrafında bir tümör olduğu keşfedildi. Tümörü, kanserli olabileceği dehşetiyle, yumurtalıkla birlikte çıkarmaya karar verdiler. Kendine geldiğinde hekimlerin tümörden bahsetmesiyle Jaimi dehşete kapıldı.

Jaimi, “Uyandıktan sonra annemle yürüyüşe çıktım ve yüzündeki tasayı görebiliyordum. Bu yüzden bir şeylerin yolunda gitmediğini anlayabiliyordum” diyor.

Annesi tümörün yeterli huylu olup olmadığını bilmediklerini söylediğinde Jaimi, bunun ölümcül olduğunu düşünmeye başladı: “O kadar şoktaydım ki o an nasıl hissettiğimi hatırlayamıyorum. ‘Ölecek miyim?’ sorusunu aklımdan çıkaramadığımı hatırlıyorum.”

TÜMÖRÜN ETRAFI SAÇ VE DİŞLERLE KAPLIYDI

Jaimi’yi dehşete düşüren yalnızca bir tümöre sahip olması değildi. Üstelik daima büyüyen yaklaşık 9 kilogram yükündeki tümörün etrafı saç ve dişlerle doluydu.

Jaimi, “Doktorlar bunun içimde üç tane çocuk olması üzere bir şey olduğunu söylediler. Tıpkı vakitte dişleri ve tüylerinin olduğunu da öğrendim. Bu benim için her şeyden daha iğrençti” diye konuşuyor.

Pekala kulağa epeyce ürkütücü gelen bu tümörü nasıl yorumlamak gerekiyor? Jaimi’nin başına gelenleri yaşayan öbürleri da var mı? Bu mevzuda başımıza takılanları Bayan Doğum Uzmanı Prof. Dr. Yavuz Şimşek‘e danıştık.

Bir yumurtalık tümöründe diş, kemik, kıl, deri modülleri üzere öbür dokuların varlığının ender bir durum olmadığını söz eden Şimşek, “Bu durum bize tümörün ‘dermoid tümör’ ya da öteki ismiyle ‘matür kistik teratom’ olduğunu gösterir ki genç bayanlarda en sık görülen over tümörü çeşitlerinden biridir” dedi.

Dermoid tümörler vakit zaman taşıdıkları tuhaf nitelikler nedeniyle bilim insanları ortasında da bir merak konusu. Bu tümörlerin kimilerinin saç, diş, kemik ve çok nadiren göz küresi üzere daha karmaşık organları içerdiğine dair kayıtlar bulunuyor.

KANSERLEŞME ORANI ÇOK DÜŞÜK

Tekrarlama mümkünlüğünün başka tümörlere nazaran daha az olduğu dermoid tümörde, yalnızca tümörün çıkarılmasının kâfi olduğunu belirten Şimşek, “Ameliyatla alınması haricinde diğer bir tedaviye muhtaçlık olmaz. Kanserleşme oranı ise yüzde 1 yani çok azdır. Kanserleşme olsa bile seyir, başka yumurtalık kanserlerine nazaran daha güzel ilerler” tabirlerini kullandı.

Form 1-Dermoid kistli yumurtalık Biçim 2-Normal yumurtalık

ERKEKLERDE BİLE GÖRÜLEBİLİYOR

Hekimler, Jaimi’de tümörün neden büyümeye başladığını tam olarak teyit edemese de genç bayan, annesinin ona gebe kaldığında bir ikizi olabileceğine ve bu fetüsün yumurtalığında büyümeye devam ettiğine inanıyor. 

Jaimi, “Teyzem, annem ve büyükbabam ikiz olduğu için, tahminen benim de ikizimin olabileceğini söylediler” diyor.

Bu hususta görüşüne başvurduğumuz Şimşek ise bu tümörlerin oluşma nedeninin tam olarak bilinemediğini söyleyerek, “Bu türlü durumlarda kişinin anne karnında gelişirken yumurtalık dokusu içinde olağandışı bir gebelik oluştuğuna ve bunun doğumdan sonra bulgu verdiğine inanılıyor. Bu da fetüs içinde fetüs olarak biliniyor. Farklı olan, bu tümörler erkeklerde ve bedenin öbür kısımlarında da görülebiliyor. Doğumdan evvel oluşan bu yapılar ekseriyetle ergenlik devrinde belirti vermeye başlıyor” sözlerini kullandı.

‘YA ÇOCUK SAHİBİ OLAMAZSAM’

Jaimi tümörü aldırdığı için rahatlamıştı lakin yumurtalığının alınması da onu korkutmuyor değildi. Tek yumurtalığı olmasının ileride çocuk sahibi olma teşebbüslerini engelleyeceği fikri onu huzursuz ediyordu. Zira tek isteği çocuk sahibi olmak ve büyük bir aile kurmaktı.

Dermoid tümörde çok büyümedikçe yumurtalığın korunduğunu söyleyen Şimşek, “Yumurtalık alınsa bile kalan yumurtalıkla elbette hamilelik olabilir. Lakin tek yumurtalığın alınması, bayanın hamile kalabilme potansiyelini düşürür, rezervini azaltır.  Bu nedenle dermoid tümör üzere âlâ huylu yumurtalık kitlelerinde her durumda yumurtalığı korumak tercih edilir” dedi.

Tümörün çıkarılmasıyla birlikte Jaimi sağlıklı beslenme ve idman içeren diyetine geri döndü. O vakitten beri yaklaşık 46 kilo verdi ve şimdilerde 66-67 kilogram tartısında.

 
 
 
Bu gönderiyi Instagram’da gör

Jaimi Conwell (@jaimiconwell)’in paylaştığı bir gönderi

ASİTTEN KAYNAKLANDIĞINI DÜŞÜNDÜ

Dişleri ve saçları olan bir tümöre sahip olan tek kişi Jaimi değildi. ABD’li Page Davenport, birinci olarak 29 Ocak’ta karnında olağandışı bir ağrı hissetti ve regle benzemeyen garip bir kanama yaşadı.

New York Post’un haberine nazaran Page, birinci başta bu ağrının mide asidinden kaynaklanabileceğini düşündü. Fakat aslında sebep bundan çok daha makûs bir şeydi. Page, kanaması olunca derhal hekimine danıştı ve ultrason çektirdi.

Ultrason sonucuna nazaran Page’in rahminde iki büyük tümör tespit edildi. Bu tümörlerin en şaşırtan yanı tıpkı Jaimi’de olduğu üzere etrafında saç ve dişler olmasıydı. Page bu kistin iki yıl boyunca rahminde büyümüş olduğuna inanmakta zorlandı hatta raporları görünce bile inanmak istemedi.

Şimşek, dermoid tümörün ekseriyetle hiçbir belirti vermediğini ve ekseriyetle ultrasonda tesadüfen saptandığını söyleyerek, “Belirti verirse genelde daha ağır seyreder. İçerdiği yüksek yağ oranı nedeniyle karın içinde yüzer ve yumurtalığın kendi etrafında burulmasına (torsiyon) neden olur. Torsiyone olmuş yumurtalık, şiddetli kasık ağrısı, bulantı, kusma üzere belirtilerle kendini gösterir. Şayet bedenin farklı kısımlarına yerleştiyse o bölgeye ilişkin belirtiler de verebilir” açıklamalarında bulundu.

KARINDA ŞİŞLİK VARSA…

Son olarak tümörün kilo üzerindeki tesirlerini sorduğumuz Şimşek, ortadaki ilgiyi şu formda açıkladı:

Şimşek, “Burada sessizce büyüyen tümör karın şişliği yaratarak kilo vermeye çalışan bir bireyde, kilo verememe hissiyatı oluşturabilir. Göbeğim erimiyor diye düşünürken, aslında içinde büyüyen bir kist mevcut olabilir” dedi ve ekledi:

“Bu yüzden bayanlar karın şişliği yakınmasını önemsemeli. Sindirim sorunu, hazımsızlık üzere kılıflara sığınıp içinde büyüyen bir kitlenin teşhisini geciktirmemeli. Karın şişliğiniz varsa bir jinekoloğa kesinlikle muayene olunmalı.”

Tags: KiloTümörYumurtalık

Related Posts

NATO Genel Sekreteri Rutte’den Avrupa’ya ihtar: ABD olmadan savunma hayal
Dünya

NATO Genel Sekreteri Rutte’den Avrupa’ya ihtar: ABD olmadan savunma hayal

27 Ocak 2026
ABD’de Büyük Kar Fırtınası Düzensizliği
Dünya

ABD’de Büyük Kar Fırtınası Düzensizliği

26 Ocak 2026
ABD’den Yeni Gazze Planı
Dünya

ABD’den Yeni Gazze Planı

23 Ocak 2026
Dünyanın En Eski Mağara Resmi Endonezya’da Keşfedildi
Dünya

Dünyanın En Eski Mağara Resmi Endonezya’da Keşfedildi

22 Ocak 2026
ABD’de ICE Polisine Ateşle Karşılık: Bir Bayan Öldürüldü
Dünya

ABD’de ICE Polisine Ateşle Karşılık: Bir Bayan Öldürüldü

8 Ocak 2026
Suriye’de Alevi Sivillere Yönelik İnfaz İddiaları
Dünya

Suriye’de Alevi Sivillere Yönelik İnfaz İddiaları

5 Mayıs 2025
  • Trending
  • Comments
  • Latest
İstek Kocaoğlu’nun yalnızlığı bitti… İşte yeni aşkı!

İstek Kocaoğlu’nun yalnızlığı bitti… İşte yeni aşkı!

9 Nisan 2022
BARCELONA GALATASARAY MAÇI CANLI İZLE ????

BARCELONA GALATASARAY MAÇI CANLI İZLE ????

10 Mart 2022
VakıfBank’lı Zehra Güneş ve Isabelle Haak’ın kardeşleri de voleybolcu çıktı! İşte dikkat çeken kareler

VakıfBank’lı Zehra Güneş ve Isabelle Haak’ın kardeşleri de voleybolcu çıktı! İşte dikkat çeken kareler

12 Mart 2022
Windows 11’i Desteklenmeyen PC’de Windows 11 Kullananlara Uyarı!

Windows 11’i Desteklenmeyen PC’de Windows 11 Kullananlara Uyarı!

15 Şubat 2022

2026 Yılında Dijital Oyun Sektörü: Güvenilir Platformlar Nasıl Seçilir?

0
TL’de yaratılan değer kaybının sonucu: İlaç fiyatlarında beklenen zam

TL’de yaratılan değer kaybının sonucu: İlaç fiyatlarında beklenen zam

0
Uluslararası Enerji Ajansı Başkanından OPEC+’ya üretimi artırma çağrısı

Uluslararası Enerji Ajansı Başkanından OPEC+’ya üretimi artırma çağrısı

0
Rusya’dan dikkat çeken güvenlik açıklaması: Ukrayna sorunun sadece bir bölümü…

Rusya’dan dikkat çeken güvenlik açıklaması: Ukrayna sorunun sadece bir bölümü…

0

2026 Yılında Dijital Oyun Sektörü: Güvenilir Platformlar Nasıl Seçilir?

29 Mart 2026
Türkiye-Kazakistan İşbirliği Planı İmzalandı

Türkiye-Kazakistan İşbirliği Planı İmzalandı

3 Şubat 2026
Şanlıurfa’da Tefeci Çeteye Büyük Darbe

Şanlıurfa’da Tefeci Çeteye Büyük Darbe

2 Şubat 2026
Domaniç’te Kar Yağışı Ulaşımı Zorluyor

Domaniç’te Kar Yağışı Ulaşımı Zorluyor

2 Şubat 2026
vdcasino
  • Künye
  • Gizlilik Politikası
  • İletişim

© 2022Tüm hakları Saklıdır. 45dk.net Tarafsız güncel haberler ile sizlere hizmet vermektedir.

No Result
View All Result
  • Anasayfa
  • Dünya
  • Ekonomi
  • Siyaset
  • Yaşam
  • Medya
  • Bilim ve Teknoloji
  • Emlak
  • İletişim

© 2022 Tüm Hakları Saklıdır. 45dk.Net Tarafsız doğru güvenilir habercilik. Gündem haberlerini takip edin!

Welcome Back!

Login to your account below

Forgotten Password?

Create New Account!

Fill the forms below to register

All fields are required. Log In

Retrieve your password

Please enter your username or email address to reset your password.

Log In
sex hikaye BACKLINK SATIN ALMAK ICIN undergroundmethods.com hacklinklive.com vdcasino Your request was blocked.